首页 新闻动态 公司新闻

牙齿涂氟是什么

2017.04.21 @茁悦口腔 浏览数1550人 标签:儿童牙科
       牙齿涂氟是什么,就是用一种含氟的物质,对每一颗牙齿表面进行氟化处理。这是一种预防龋齿的非常有效的方法,它早在国外就开展多年,已成为一种常规的儿童牙齿保护的方法。>>>孩子涂氟咨询
      牙齿为什么要涂氟?利用氟化泡沫防治龋齿,是目前行之有效的防龋方法。儿童从3~4岁开始,每半年涂一次,直到6岁为止。一般情况下,所有的孩子都适合做氟化泡沫预防龋齿。>>>龋齿是什么
龋齿
      牙齿涂氟的方法:牙科医生将带有果味的氟化物涂到牙齿表面,每次只需1分钟。不会让宝宝有任何痛苦,特别是对刚长出的牙齿效果更佳。涂氟后半至1小时,宝宝不要喝水、喝饮料以及吃东西、漱口。牙齿涂氟须去牙科,医生对牙齿做严格的清洁后,才可以涂氟。>>>儿童龋齿怎么办
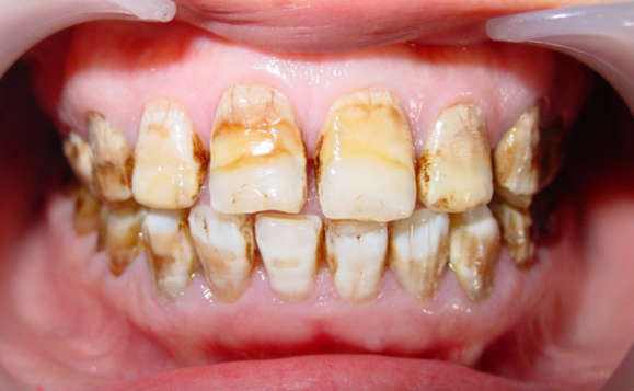
      有关调查显示,儿童使用含氟牙膏刷牙时若吞咽豌豆大小或更大量的含氟牙膏会导致轻度氟斑牙。以2~3岁体重約10~15公斤儿童为例,若吞食超過50~75g即可能导致氟中毒(小包装约一条,大包装约半条牙膏量)。
氟斑牙
 
       茁悦口腔提示小孩牙齿涂氟须去正规的口腔机构,由专业口腔医生来完成,对涂氟的时间、次数、浓度使用量严格控制。并且一般3岁以下的小孩不建议涂氟,因为年龄太小不能很好的配合医生的操作,容易导致氟化物误食。
    为保证儿童口腔健康,如有其他任何关于口腔的问题,可以点击在线咨询或拨打免费咨询热线:028-83231897