
因为不同的原因,现在很多的中青年人牙齿缺失者很多,对身体健康和面容都有很大的影响,良好的口腔健康对身体健康至关重要。 成都 茁悦口腔 ,拥有包括洁牙、洗牙、补牙、根管、美白等基础牙科治疗项目,牙齿正畸、种植牙、牙美容等项目。尤其在牙齿种植方面

很多牙齿缺失的人一直饱受着咀嚼困难,面容变形的困扰,苦不堪言。最终希望补牙,但是传统补牙非但不美观还对咀嚼等仍然有巨大影响。 进而选择了种植牙,种植牙效果极好,留存时间长,种植后无不适感,完全不影响咀嚼等日常生活。既然选择了种植牙,就比较关

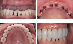
缺失牙齿对人影响非常之大,不好咀嚼食物影响胃肠功能,还对人的颜面形象造成很大影响。因此对于很多人来说,牙齿缺失是不能忍受的。所以因为外伤、严重牙周炎、蛀牙而牙齿缺失或者拔牙的牙患都希望在拔牙后能尽快种上种植牙,以恢复牙齿的正常功能。那么,

因撞击、外伤或者年龄增长、牙齿疾病等一些原因,牙齿缺失现象比较的普遍。为了满足日常生活需求,保证生活质量,一般会选择种植牙,尤其是中青年人。 种植牙能用多久 种植牙能用多久?这是很多牙患关心的问题,种植牙费用相对较高,若使用时间不够长,会很
在当前口腔领域,牙科市场人才抢手,牙科医生成为争相抢夺的资源,因此坐拥这些资源,同时拥有国外进口高品质设备和器材成为牙科手术治疗中收费高昂的理由之一。同时不幸的是很多老年人都面临着牙齿危机,造成一颗、多颗或者全口牙缺失,因此对于种植牙尽管

种植牙如今越来越成为大势所趋,因其完美的修复美化功能,成为牙齿修复的主要途径之一,更能很好地填满缺牙患者的因缺牙造成的不自信。 什么是种植牙? 种植牙是将人工牙根植入缺牙部位的牙床内,当牙根与牙床长牢后,再在牙根上接一颗逼真的瓷牙,这样,种

在日常生活中,无非就是玩玩玩,吃吃吃,但如果你没有一口完整的牙齿,是否会感慨世界残忍,对你如此不公平呢?所以, 茁悦口腔专业种植医生 倾心推荐牙齿种植,让您的生活不只是喝喝汤而已。 很多人因此想知道种植牙到底有什么亮点呢?也许对于种植牙还存在

当前,大部分牙患中很多人存在疑虑,种植牙这么贵到底能用多久? 茁悦口腔 专家提醒您:种植外科手术要求极高,医生必须接受过专门的学习和培训,同时具有丰富的临床经验,才能正确且顺利的完成种植牙的每一个步骤,从而保证种植修复的长期效果。 种植牙寿命