
吸烟不仅仅对我们身体造成不好的影响,甚至会给我们的牙齿带了不好的影响,日常生活中的烟草带容易使牙齿表面着色。 烟渍牙如何去除 ? 点击咨询 所谓烟渍,就是经常吸烟的人在牙齿上留下的牙渍,它的形成是由于我们的口腔环境是酸性,长期与口腔内食物残渣等

人在抽烟的时候,烟渍中的某些矿物质就会吸附在这些黏性物质上,逐渐使牙齿变黄或变黑。烟渍牙严重影响牙齿的健康跟整体形象,那么烟渍牙美白什么效果好? 咨询预约 现在市面上牙齿美白技术有很多,抽烟牙黄的朋友如果想美白牙齿,好能去专业的医疗机构检查,

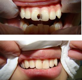
门牙龋齿怎么办 ?门牙在口腔中有很重要的功能,一者是发音功能,二者是切割食物的功能。门牙被龋坏的情况下牙齿外观出现很大的问题,而且长期龋齿的情况下会出现牙齿会缺失的情况,对牙齿伤害很大。那么门牙龋齿怎么办 应该如何治疗呢? 详情咨询 当只有牙釉

乳牙滞留怎么预防 ?乳牙滞留是指本该换牙了可是乳牙迟迟不脱落或恒牙应经萌出了,但是乳牙未能按时脱落的现象。发生乳牙滞留不仅影响美观,还会对儿童的身心健康造成不良影响。 孩子乳牙滞留详情咨询 从生理方面来看,会影响儿童正常的生长发育。 茁悦口腔

孩子乳牙滞留要不要拔 ?孩子一般从6-7岁开始换牙,乳牙逐渐脱落,恒牙相继萌出。恒牙已经萌出,相应位置上的乳牙尚未脱落,叫做乳牙滞留,又叫乳牙迟脱。乳牙滞留对于孩子有什么影响?要不要及时去拔掉? 详情咨询 磨牙滞留多是恒牙胚先天缺失或埋伏阻生。

孩子乳牙的健康对于恒牙的生长是有很大影响的,大部分的小孩乳牙滞留是需要进行拔牙处理的。那么, 儿童乳牙滞留拔除后要注意什么 ? 详情咨询 乳牙滞留拔出后的注意事项: 1、拔牙后要紧紧咬住医生给垫的消毒棉,1个小时左右。 2、要注意拔牙的当天不要吃热

补牙治疗步骤有哪些?很多人很怕面对牙医是觉得补牙很痛,而且很折磨人,所以就算是自己的牙齿不好也是久久不敢去牙科医院进行补救。然而这是不正确的做法,就是因为很多人耽误了补牙的时机,从而导致龋齿越来越严重会花更多的时间精力金钱去治疗的。 咨询预

对于牙齿矫正这个话题来说相信大家都不陌生,社会不断发生变化的同时,医疗技术也在不断改变,有很多人通过矫正的方式来获得自信的笑容。那牙齿矫正的过程是怎么样的呢?具体有哪些方面呢?我们一起来看看茁悦口腔医生是如何介绍的。 你有以上哪种情况?想做矫